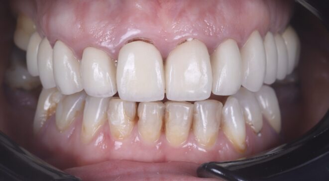
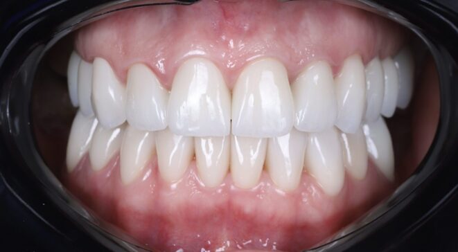
Проведено:
- Зняття старого металокерамічного протезу
- Імплантація в ділянці відсутнього зуба
- Виготовлено три цирконієві коронки на зубах та імплантаті
м. Львів, вул. Шевченка, 87А
м. Львів, Личаківська,52
м. Львів, вул.Скорика, 29
м. Львів, вул. Глибока, 4
м.Львів, пр-т. Червоної Калини, 85а
Parodent USА
+1 (623) 398 68 08Parodent CAN
416-201-4440Проведено:
Проведено:
Проведено:
Проведено:
Проведено:
Проведено:
Проведено:
Проведено:
Проведено:
Проведено:
Проведено:
Проведено:
Проведено:
Проведено:
Проведено:
Проведено:
Проведено:
Проведено:
Проведено:
Проведено:
Проведено:
Проведено:
Проведено:
Проведено:
Проведено:
Проведено:
Проведено:
Проведено:
Проведено:
Проведено:
Проведено:
Проведено:
Проведено:
Проведено:
Проведено:
Проведено:
Проведено:
Проведено:
Проведено:
Проведено:
Проведено:
Проведено:
Проведено:
Проведено:
Проведено:
Проведено:
Проведено:
Проведено:
Проведено:
Проведено:
Проведено:
Проведено:
Проведено:
Проведено:
Проведено:
Проведено:
Проведено:
Проведено:
Проведено:
Проведено:
Проведено:
Проведено:
Проведено: